Lipoma Arborescens | Cases
Published on Dec 17, 2020
(2016) Patient (male) aged 44 attends physical therapy department with right knee pain. He gives a 5 year history of knee pain. He has noticed on and off swelling in the right knee. The clinician notices high BMI. On knee exam, there is slight swelling noticed on the knee. ROM is full with slight tightness at end range flexion and extension. [...] Read more
Bone Tumours
Published on Jun 22, 2020
Very informative illustration pertaining to Bone Tumours by Matt Skalski @docskalski on twitter. Bone Tumours – Labelled
Undisplaced Fracture – Distal Tibial Metaphysis | Cases
Published on Jun 9, 2020
Female, 45. Started running 4 months ago. Gradually building distance. 3 week ago developed significant ankle swelling, pain and difficulty weight bearing after an 8 mile run. No history of injury X-ray – NAD Exam Ankle swollen Tender on palpation over left medial malleolus and along tibial shaft. MRI Coronal Saggital T1 There is an undisplaced [...] Read more
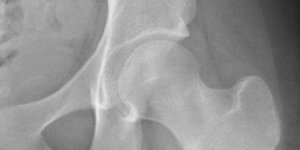
Hip Stress Fracture in a Runner | Cases
Published on May 4, 2020
19 female, triathlete c/o groin pain. started after a spike in training load over a 2 month period. 60km a week bike, 40-50 km running, 2-3 swims. Exam Antalgic gait Pain with FADIR and IR of hip NAD on X-ray. x-ray MRI MRI – Coronal Views What is the pathophysiology of a stress fracture?
Supracondylar Fracture | X-ray
Published on May 4, 2020
Simple x-ray interpretation of a supracondylar fracture and its mechanism of injury.
Knee – Bucket Handle Tear & ACL Tear
Published on May 4, 2020
Case History 32 Year old female Felt a pop in the knee when doing box jumps. Developed knee pain with slow swelling. Improved a couple of weeks later. 5 Months later while doing weighted lunges, knee popped again. Improved again but residual pain persisted. Continued to do cross fit. Referred to MSK Physio by GP. Examination Mild end range flexion [...] Read more













