Plasmacytoma | Cases
Published on Aug 9, 2021
Retrospective case study 66 Male 1 year history of right thigh pain Attended physiotherapy. Given exercises for tight thigh muscle. No improvement. Consulted GP 10-12 months after physiotherapy as he developed problems with sit to stand. GP requested X-ray pelvis. X-ray report as follows. GP referral for x-ray mentions – “Injury right leg two [...] Read more
Lung Cancer | Pancoast
Published on Feb 16, 2021
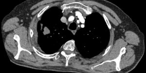
71 male First appointment 3 Month history of Right rhomboid pain. Aggravated by shoulder movements. Struggles to get to sleep and occasionally wakes up. No P+N or numbness. No dizziness, diplopia, dysarthria, dysphagia, drop attacks, nausea. Exam Slight winging right scapula. Full shoulder ROM Full shoulder strength Provisional Diagnosis [...] Read more
Back Pain | Ankylosing Spondylitis | Cases
Published on Jan 20, 2021
26 ♂ Presented to MSK service with back pain. Gave a 7 year history of back pain (started aged 19) Seen previously in MSK service 5 years ago (aged 21). Had an MRI scan which was normal. Has has physiotherapy in the past. Has been regularly having chiropractic treatment. Reports that his back remains arched when he is lying supine (lordosis [...] Read more
Hip Osteonecrosis | Cases
Published on Jan 20, 2021
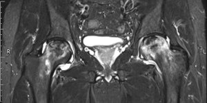
59 ♂ B/L groin pain. 10/10 VAS Initially started on the left side like lateral hip pain. Had 2 steroid injections for lateral hip pain. Uses walking stick. Painful with weight bearing, getting in / out of car. No spinal symptoms. Recent X-ray NAD Exam Antalgic gait Pain deep in groin Hip flexion limited to 90° B/L Minimal internal and external [...] Read more
Knee Synovitis | Cases
Published on Jan 19, 2021
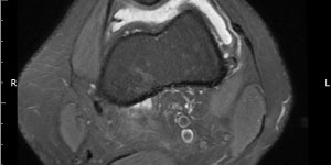
87 female , 6 month history of knee pain Difficult weight bearing. Uses 1 walking crutch. Limited flexion and extension ROM due to pain. Swelling present in the whole leg rather than just the knee. Attended A&E twice due to severity of pain. Was given a knee x-ray. X-ray Report Mild degenerative changes noted particularly in relation to the [...] Read more
Mass in Medial Clavicle | Cases
Published on Jan 15, 2021
Lump over Medial clavicular region close to SCJ 57 female Reports slow growing lump in chest region for over 5 years. No trauma. Gets some shoulder pain. Has been having osteopathy for shoulder. Full shoulder ROM on examination. Non tender lump. Mild SCJ tenderness. Clinician requested MRI scans. Retrospective and current investigations below. [...] Read more
Monoarthropathy – Knee | Cases
Published on Jan 12, 2021
27 female 10 Year history of Knee pain. Used to do running but now doesn’t due to pain. Previous diagnosis – Bakers Cyst which was drained. Examination No effusion Full ROM, no pain with overpressure NAD ligaments NAD meniscal test (McMurrays) Cyst present in Popliteal fossa over gastrocnemius region. Non tender MRI requested to ascertain cause [...] Read more
Bony Mets – No Primary | Cases
Published on Jan 6, 2021
Skeletal Metastases of Unknown Primary – SMUP Presentation 64 male, Retired, likes walking. C/o: Right sided lumbosacral pain. No reported P+N or Numbness. Onset – 6 weeks, insidious. Ongoing left knee issue. Patient reports the onset of back pain was gradual. He linked it to the knee pain due to compensatory gait. Pain worse with sustained [...] Read more














